0

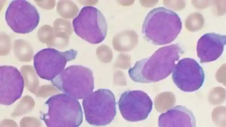
Desarrollan una nueva terapia prometedora para pacientes con leucemia linfoblástica de células T

Clanes (2) · Selecciona un clan para abrir su perfil público

· 20minutos.es
Categoría: Ciencia
· Comentarios
· Abrir en el medio

Las historias descartadas o eliminadas no admiten votos ni reportes.

Imagen 1 de Desarrollan una nueva terapia prometedora para pacientes con leucemia linfoblástica de células T
Imagen 1 de Desarrollan una nueva terapia prometedora para pacientes con leucemia linfoblástica de células T

Qué está pasando en esta noticia

Se trata de un cáncer agresivo de la sangre que afecta típicamente a niños, pero puede afectar también a adultos.
Detalles avanzados Timeline y mini scoring

Evolución temporal

  1. Enviada

    hace 1 mes · Ingresó como candidata

  2. Último estado

    hace 4 semanas · Última actualización registrada

Fuentes
Fuente principal
20minutos.es

https://www.20minutos.es

Comentarios